特設サイトメニュー
DISEASE
急性大動脈解離(きゅうせいだいどうみゃくかいり)
急性大動脈解離について
一般的に大動脈解離と言うと急性大動脈解離を指します。急性大動脈解離は未治療で放置した場合、死亡率が非常に高い病気なので、発症後直ちに適切な治療が必要となります。大動脈解離は大動脈の内側に裂け目(エントリー)が生じ、その裂け目に血液が流れ込むことによって大動脈の中に2つの空間ができる病気です。血管は3層の壁(内膜、中膜、外膜)からできています。大動脈解離は本来の大動脈内腔(真腔)と新たに生じた壁内腔(偽腔)からなり、両者は解離フラップ(内膜と中膜の一部からなる隔壁)により隔てられます。真腔から偽腔へ血液が流入する主な裂け目をエントリーと呼びます。

このエントリーの場所と大動脈解離の広がりが治療方針に大きく関与します。急性大動脈解離は、上行大動脈に大動脈解離をきたした場合をA型、上行大動脈に解離がないものをB型に分類されます。

症状
急性大動脈解離の症状には、解離そのものによって生じる痛み・失神と、解離が生じたことによって起こる合併症があります。大半の症例では発症時に胸から背中にかけての激痛で、痛みの部位が移動していくのが特徴です。多くの患者さんが過去に経験したことのない強い痛みと言われます。痛みは鋭く引き裂かれるような痛みであり、突然発症が特徴的です。なかには、痛みを感じることなく失神される方もおられます。また、まったくの無症状でCT検査などを行った場合に偶然発見される場合も少なからずあります。
検査
急性大動脈解離の診断はCT検査で行います。病態を理解するためには造影剤を用いた造影CT検査が必要です。患者さんが非常に危険な状態である場合には、造影CT検査を行わない場合もありますが、治療方針を検討するうえでは必須の検査です。
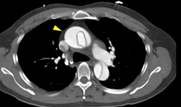
CT検査
Stanford A型急性大動脈解離の造影CT検査画像
上行大動脈(黄矢印)に大動脈解離が及んでいることがわかります。
治療方法
大動脈解離の治療は、解離している部位や病状によって大きく異なります。上行大動脈に解離があれば(A型)緊急手術を開胸して行うことがほとんどです。発症後に致死率が1時間あたり1~2%上昇すると報告されています。外科手術を行わなければ48時間以内の致死率が約50%とされます。しかし、高齢であったり、術前の生活状況が非常に悪い状態であったり、手術を希望されない患者さんもおられます。そのような場合には、それぞれの患者さんに合わせて、治療を検討することもあります。緊急手術の原則は、エントリーを含む解離大動脈壁の切除と人工血管置換術を原則とします。近年では、オープンステントグラフトを使用し、遠隔期(手術後の時間経過)の大動脈解離の偽腔消退を期待することもあります。当院でも積極的にオープンステントグラフト(図)を使用し、手術を行っております。


出典:テルモ株式会社 Thoraflex Hybrid
上行大動脈に解離が無ければ(B型)多くの場合、入院し、血圧を下げ、安静にする保存的治療を第一選択とします。しかし、経過中に大動脈が急に拡大したり大動脈解離が再発したり、大動脈破裂などが起こった場合、緊急手術が必要です。また、発症時に臓器灌流不全状態(臓器への血流が途絶える状態)にある場合には、緊急手術の適応となります。これらの多くは、ステントグラフト内挿術でエントリーを閉鎖することを目的とすることが多く、当院でも緊急で対応することが可能です。患者さんの状態に合わせて適切な治療を選択し、無事に退院・社会復帰をしていただくことを目的とします。
急性大動脈解離の治療が奏功し、退院できた場合でも、大動脈解離は残存していることが多く、慢性期(発症後長い時間が経過した状態)に大動脈瘤となり、解離性大動脈瘤と呼ばれる状態になることもあります。定期的な経過観察が必要です。解離性大動脈瘤となった場合、その形態に合わせて、人工血管置換術もしくはステントグラフト内挿術を選択し、治療することもあります。
現在、当院では心臓血管外科専門医が7名在籍(内2人非常勤)しており、緊急時の手術にも対応可能です。
スタッフ
心臓血管外科

専門分野
心臓血管外科全般
学会専門医・認定医
日本外科学会外科専門医・指導医
心臓血管外科専門医認定機構 心臓血管外科専門医
心臓血管外科専門医認定機構 修練指導医
日本ステントグラフト実施基準管理委員会胸部ステントグラフト指導医(TAG/Relay/TX-2/VALIANT/Najuta)
日本ステントグラフト実施基準管理委員会腹部ステントグラフト指導医(Zenith TX2TAA、AAA/GoreExcluder/ENDURANT/AFX/AORFIX)
日本ステントグラフト実施基準管理委員会腹部ステントグラフト実施医(TREO)
浅大腿動脈ステントグラフト実施基準管理委員会浅大腿動脈ステントグラフト実施医(GORE)
日本胸部外科学会評議員
関西胸部外科学会評議員
国立大学法人神戸大学医学部 臨床教授
医学博士

専門分野
心臓血管外科全般
学会専門医・認定医
日本外科学会外科専門医
日本心臓血管外科学会専門医
心臓血管外科専門医認定機構心臓血管外科修練指導医
日本ステントグラフト実施基準管理委員会胸部ステントグラフト指導医(VALIANTCaptivia/Navion)
日本ステントグラフト実施基準管理委員会胸部ステントグラフト実施医(Relay Plus/Pro)
日本ステントグラフト実施基準管理委員会腹部ステントグラフト指導医(ENDURANT/TREO)
日本ステントグラフト実施基準管理委員会腹部ステントグラフト実施医(GoreExcluder/AFX)
下肢静脈瘤血管内治療実施管理委員会下肢静脈瘤に対する血管内治療指導医
医学博士